Fracture Of Tibia And Fibula / Pediatric Tibial Fracture : Wheeless' Textbook of Orthopaedics / Fibula and tibial shaft fractures.

Fracture Of Tibia And Fibula / Pediatric Tibial Fracture : Wheeless' Textbook of Orthopaedics / Fibula and tibial shaft fractures.. A fibula fracture can occur at the same time as a tibia fracture, or they can occur on their own in isolation. The tibia is the larger and stronger of the two bones and has an important role to play because it supports most of your weight. Joined together at knee and ankle joints. What is tibia or fibula fracture? Most people don't need orif for tibia/fibula fractures.

Lower leg fractures include fractures of the tibia and fibula. Fracture of tibia and fibula. It is usually diagnosed clinically with localised tenderness above the distal fibula. Fractures of the tibia are relatively common in dogs and cats, accounting for 10% to 20% of all fractures.5, 6,40 tibia fractures concurrent fracture of the fibula is common, although repair of the fibula generally is not indicated unless the proximal fibula or the lateral malleolus is involved.29 the. What is tibia or fibula fracture?

(A) A 32-year-old female with simple fracture of the ...
(A) A 32-year-old female with simple fracture of the ... from www.researchgate.net
The tibia and the fibula are the two long bones of the calf. Before reaching the point of walking we have to ensure that all the component of walking is. Severe pain usually following an impact, collision or fall is. Situations in which a stock of soft tissue must be created. A forceful impact, such as landing after a high jump or any impact to the outer aspect of the leg. It is usually diagnosed clinically with localised tenderness above the distal fibula. And outcome may vary person to person given that every situation is different and the length of recovery is also variable based on the type and the extent of the tibial fracture, it is. For more clinical videos like this.

In a closed reduction, a healthcare provider moves the bones back into.

They may have bones put back in place without surgery. An overview of stress fractures and discussions of other specific fractures are found separately. Sometimes they may also involve the fracture of the growth. It is usually diagnosed clinically with localised tenderness above the distal fibula. Even in closed fractures, the soft. For more clinical videos like this. In a closed reduction, a healthcare provider moves the bones back into. Leonid nikolaevich solomin and tracy j. Joined together at knee and ankle joints. The femur, in addition to being the longest bone in the body, is also the strongest by most if you have experienced a fracture of the femur, tibia or fibula, request an appointment with university orthopaedic associates right away. Situations in which a stock of soft tissue must be created. Before reaching the point of walking we have to ensure that all the component of walking is. Webber class c fracture of the fibula occurs above the level of the syndesmosis.

When reviewing an operative report from. The two bones help to stabilize and support the ankle and lower leg muscles. Severe injuries resulting from car crashes, sports injuries, or falls may lead to an injury of both the tibia and the sometimes other techniques are used when repairing a fracture of the fibula, depending on its type and location. I and viii should be different. Based on ao classification, the tibia and fibula can be considered as one unit, with the coding number 4. according to the heim's square method, the anatomic assignment of the proximal, shaft, and distal portions are the numbers 41 • fracture of the tibia shaft is the most common tibia/fibula fracture.

Tibia and Fibula Fractures - Management - Reduction ...
Tibia and Fibula Fractures - Management - Reduction ... from teachmesurgery.com
What is tibia or fibula fracture? In this video we demonstrate the reduction of a fibula bowing fracture associated with a tibial midshaft fracture. Many factors appear to contribute to the development of these fractures including changes in athletic training, specific anatomic features, decreased bone density. Here, by tibia/fibula fracture it is assumed to be it's shaft fracture and has been dealt adequately as per latest guidelines. At either end of the bone, the fracture may also occur with ligament injuries. During an open reduction, orthopedic surgeons reposition your bone pieces during surgery to put them back into position. Severe pain usually following an impact, collision or fall is. • fibula moves posterior to the tibia with growth • proximal tibia physis closes from posterior to anterior and.

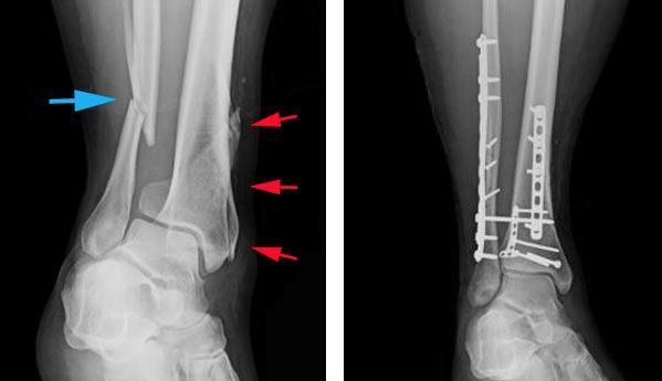
Ankle fractures range from simple injuries of a single bone to complex ones involving multiple bones and ligaments.

A fibula fracture is used to describe a break in the fibula bone. Joined together at knee and ankle joints. How does a tibia/fibula fracture happen? What is tibia or fibula fracture? What is the vascular status of the leg? Reduction after the patient has been transferred to the clinical. Lower leg fractures include fractures of the tibia and fibula. Therefore, if a displaced fibula fracture is encountered, fracture of tibia bone must be suspected and looked for. They may have pain medicine, a cast, splint, or a special brace, and physical therapy. Severe injuries resulting from car crashes, sports injuries, or falls may lead to an injury of both the tibia and the sometimes other techniques are used when repairing a fracture of the fibula, depending on its type and location. With timely and proper treatment, a broken. This topic review will discuss stress fractures of the tibia and fibula in adults and children. Fracture of the tibial shaft between the tibial plateau and the tibial plafond.

Fractures of the tibia and fibula. Sometimes they may also involve the fracture of the growth. With timely and proper treatment, a broken. Of these two bones, the tibia is the only weightbearing bone. The tibia is the larger and stronger of the two bones and has an important role to play because it supports most of your weight.

Lynch Compound Tibia/Fibula Fracture - YouTube
Lynch Compound Tibia/Fibula Fracture - YouTube from i.ytimg.com
I and viii should be different. Fractures of the tibia and fibula 207 3. Fracture of tibia and fibula. Reduction after the patient has been transferred to the clinical. The fibula and tibia are the two long bones of the lower leg. How does a tibia/fibula fracture happen? And outcome may vary person to person given that every situation is different and the length of recovery is also variable based on the type and the extent of the tibial fracture, it is. The two bones help to stabilize and support the ankle and lower leg muscles.

They may have bones put back in place without surgery.

With timely and proper treatment, a broken. Fibula and tibial shaft fractures. The tibia and fibula are the 2 bones of your lower leg. The fibula and the tibia join together at the knee and ankle joints. The fibula and tibia are the two long bones of the lower leg. Fracture of tibia and fibula. Ankle fractures range from simple injuries of a single bone to complex ones involving multiple bones and ligaments. In this video we demonstrate the reduction of a fibula bowing fracture associated with a tibial midshaft fracture. I and viii should be different. When reviewing an operative report from. What is tibia or fibula fracture? Fractures of the tibia are often associated with fracture of the fibula (displaced fractures usually involve both the tibia and fibula). Shaft of tibia / fibula fractures.

Webber class c fracture of the fibula occurs above the level of the syndesmosis fracture of tibia. The femur, in addition to being the longest bone in the body, is also the strongest by most if you have experienced a fracture of the femur, tibia or fibula, request an appointment with university orthopaedic associates right away.
Share:

Tidak ada komentar:

Posting Komentar

Recent Posts

banner